阿倍野区在住 ホワイトニング 審美症例 20才代 女性
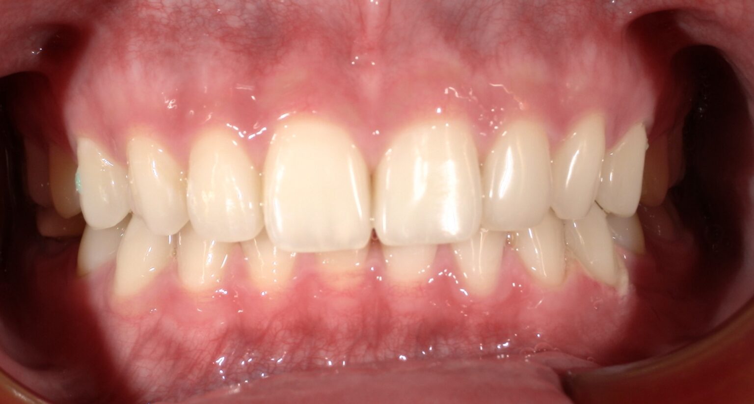
阿倍野区在住の20代女性に歯のホワイトニングを施術した症例になります。 歯のホワイトニングにはホームホワイトニングとオフィスホワイトニング、 同時期にホームホワイトニングとオフィスホワイトニングをする デュアルホワイトニ … 続きを読む 阿倍野区在住 ホワイトニング 審美症例 20才代 女性
埋め込むにはこの URL をコピーして WordPress サイトに貼り付けてください
埋め込むにはこのコードをコピーしてサイトに貼り付けてください