阿倍野区在住 ホワイトニング 審美症例 20才代 女性
阿倍野区在住の20代女性に歯のホワイトニングを施術した症例になります。
歯のホワイトニングにはホームホワイトニングとオフィスホワイトニング、 同時期にホームホワイトニングとオフィスホワイトニングをする デュアルホワイトニングがあります。
今回はカウンセリングで患者さんが患者様が 学生で海外に留学されているとのこで。短期間に歯を白くできるホワイトニングを希望されたのでオフィスホワイトニングになりました。
オフィスホワイトニングでは一回の施術では、歯の白さを自身で実感することや 他人から見て歯が白いね!と言われるぐらいまで歯を白くすることは難しいです。
なので、保さん オフィスホワイトニングを1週間おきに3回施術することとなりました。


少しホワイトニングについて説明をします。
ホームホワイトニングは自宅で手軽に行える半面 4週間以上ホワイトニングをすることで徐々に白さが増していきます。
短期間に歯を白くする方法としては オフィスホワイトニングになります。
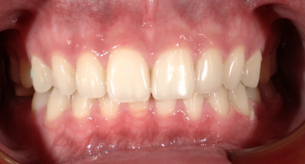
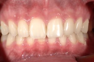
この術前術後の写真のように 歯の色は黄ばみが取れて白さがより増しました。
患者様もこの白さに納得され喜んでおられました。
ホームホワイトニングとオフィスホワイトニングの違いは、期間だけではありません。
実はホームホワイトニングの方が歯の透明感が強くなりながら漂白させるに対し、オフィスホワイトニングでは白さが強調されるようになります。
より自然な歯の白さを求めるのであればオフィスホワイトニングとホームホワイトニングを同時期に時間をかけてやることによって、より自然な歯の白さを得ることができます。同時にやる方法がデュアルホワイトニングなのです。
オフィスホワイトニング
治療内容:上下の歯をオフィスホワイトニングしました。
当院に来院させてのオフィスホワイトニングを行いました。
期間:約3週間
オフィスホワイトニング3回(1週間に1回)
費用:57,7500円
リスク・副作用:知覚過敏症が出現する時があります。ホワイトニングの効果には個人差があります。
ホワイトニングについて気になることがございましたら、カウンセリングも行っておりますので、お気軽にお電話やスタッフにお声掛け下さい。
阿倍野区 西田辺えがしら歯科 院長
IDIA国際口腔インプラント学会 認定医
日本口腔インプラント学会 専修医
歯科医師 院長 江頭伸行
関連記事


