生野区在住 インプラント治療 症例 60才代 女性

生野区在住の60代女性が、当院でインプラント治療を受けられた症例をご紹介します。
この患者様は、もともと他院に通院されていましたが、治療方法や今後の見通しについて十分な説明を受けられず、不安を感じておられたそうです。
「現在のお口の状態をもう少し詳しく知りたい」「今後の治療方針について納得したうえで治療を受けたい」との思いから、当院を受診されました。

初診時にレントゲン検査を行ったところ、左下6番の歯の根の先に感染が広がっており、根尖病巣が認められました。これが、繰り返す腫れや、噛んだときの痛みの原因になっていると考えられました。
さらに詳しく確認すると、病巣は比較的大きく、歯根も短くなっており、歯にヒビが入っている可能性も否定できない状態でした。そのため、保存は難しいと判断し、抜歯が必要であることをご説明しました。
抜歯後の治療方法としては、ブリッジ、入れ歯、インプラントのそれぞれの特徴や注意点について丁寧にご説明しました。
そのうえで患者様は、「お孫さんと一緒に笑いたい」「家族やお孫さんと一緒に外食を楽しみたい」というお気持ちを大切にされ、しっかり噛める状態の回復を目指して、インプラント治療を選択されました。
また、この患者様には日常的な食いしばりの傾向があり、顎関節症もみられました。長時間お口を大きく開け続けることが難しく、インプラント手術そのものに対しても不安を抱えておられました。
そこで当院では、静脈内鎮静法(セデーション)を併用したインプラント埋入手術をご提案しました。
静脈内鎮静法は、全身麻酔とは異なり、うっすら意識を保ちながらも、うたた寝をしているようなリラックスした状態で治療を受けていただける方法です。
緊張や不安がやわらぎ、治療中の負担感を軽減しやすいため、この患者様にも適した方法と判断しました。
まず抜歯を行い、約1か月ほど経過をみて、抜歯部位の治癒を待ちました。その後、静脈内鎮静法を併用しながらインプラント埋入手術を行いました。抜歯後間もない時期で骨の回復途中でもあったため、必要に応じて骨補填材やCGFを併用し、周囲組織の状態にも配慮しながら治療を進めました。
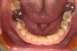
インプラント埋入後は、約3か月の治癒期間を設け、インプラントが骨としっかり結合していることを確認しました。その後、口腔内スキャナーを用いて上部構造製作のためのスキャニングを行い、最終的な被せ物を装着しました。

治療後は、「しっかり食事ができるようになった」「家族やお孫さんと一緒に外食を楽しめるようになった」とご満足いただくことができました。
現在も定期的にメンテナンスへ通院されており、インプラントを含めたお口全体の健康管理を継続しています。治療から数年が経過した現在も、安定した状態を維持されています。

【治療費】
総額 ¥60万(税込み)
【治療期間・回数】
・約4か月・7回
【リスク・副作用】
リスク・副作用としてはインプラント埋入のため外科手術になること。術後は痛みや腫れが一時的にでることがあります。
当院では、治療方法をわかりやすくご説明し、患者様ご自身に納得して選んでいただくことを大切にしています。
インプラント治療について不安や疑問がある方も、まずはお気軽にご相談ください。
阿倍野区 西田辺えがしら歯科
IDIA国際口腔インプラント学会 認定医
日本口腔インプラント学会 専修医
歯科医師 院長 江頭伸行


