審美治療症例集 | 西田辺(阿倍野区)の歯医者 歯周病|西田辺えがしら歯科

阿倍野区 西田辺えがしら歯科
歯周病 審美 インプラント

阿倍野区 西田辺 えがしら歯科

西田辺駅4号出口を西へ30m

TEL. 06-6693-4618

診療時間/9:00-17:30 休診/日曜・祝日

阿倍野区 西田辺 えがしら歯科 インスタグラム

オフィシャルアカウント

阿倍野区 西田辺 えがしら歯科 インスタグラム

求人アカウント

地図・アクセス
大阪市阿倍野区西田辺の歯科・歯医者|えがしら歯科 西田辺インプラントセンター併設
  • 初めての方へ
  • 医院案内
  • 診療メニュー
  • 医師・スタッフ
  • 地図・アクセス
  • スタッフ募集
Skip to content
  • 初めての方へ
  • 医院案内
    • 極力、痛みのない治療
    • 院内風景
    • ハイクオリティーな設備
    • セカンドオピニオン
    • 滅菌対策へのこだわり
    • 歯の豆知識
    • よくある質問
    • 施設基準
  • 診療メニュー
    • 歯周病
    • 虫歯
    • 詰め物・被せ物が取れた
    • ホワイトニング
    • 審美治療
    • 歯科口腔外科
    • インプラント
    • インビザライン
    • 入れ歯(義歯)の治療
    • 小児・マタニティ治療
    • セカンドオピニオン
    • 予防治療
    • 訪問歯科診療
  • 症例紹介
    • 審美治療症例集
    • インプラント症例集
    • 歯周病症例集
    • セレック症例集
  • 医師・スタッフ
    • 院長紹介
    • 院長メッセージ
    • 歯科医師紹介
    • スタッフ紹介
    • 院長ブログ
    • スタッフブログ
    • 求人専門サイト
    • 以前のスタッフブログ
  • スタッフ募集
    • 歯科衛生士求人
    • 歯科助手・カウンセラー・受付求人
    • 歯科医師求人
    • 歯科技工士
  • 初診用WEB予約
  • ホーム
    • 初めての方へ
    • 医院案内

      医院案内 極力、痛みのない治療 院内風景 ハイクオリティーな設備 セカンドオピニオン 滅菌対策へのこだわり 歯の豆知識 よくある質問 施設基準

    • 診療メニュー

      診療メニュー 歯周病 虫歯 詰め物・被せ物が取れた ホワイトニング 審美治療 歯科口腔外科 インプラント インビザライン 入れ歯(義歯)の治療 小児・マタニティ治療 セカンドオピニオン 予防治療 訪問歯科診療

    • 症例紹介

      審美治療症例集 インプラント症例集 歯周病症例集 セレック症例集

    • 医師・スタッフ

      医師・スタッフ 院長紹介 院長メッセージ 歯科医師紹介 スタッフ紹介 院長ブログ スタッフブログ 求人専門サイト 以前のスタッフブログ

    • スタッフ募集

      スタッフ募集 歯科衛生士求人 歯科助手・カウンセラー・受付求人 歯科医師求人 歯科技工士 院長ブログ

    • 初診用WEB予約
  • オフィシャルアカウント 阿倍野区 西田辺 えがしら歯科 インスタグラム
  • 求人アカウント 阿倍野区 西田辺 えがしら歯科 インスタグラム

審美治療症例集

HOME > 審美治療症例集
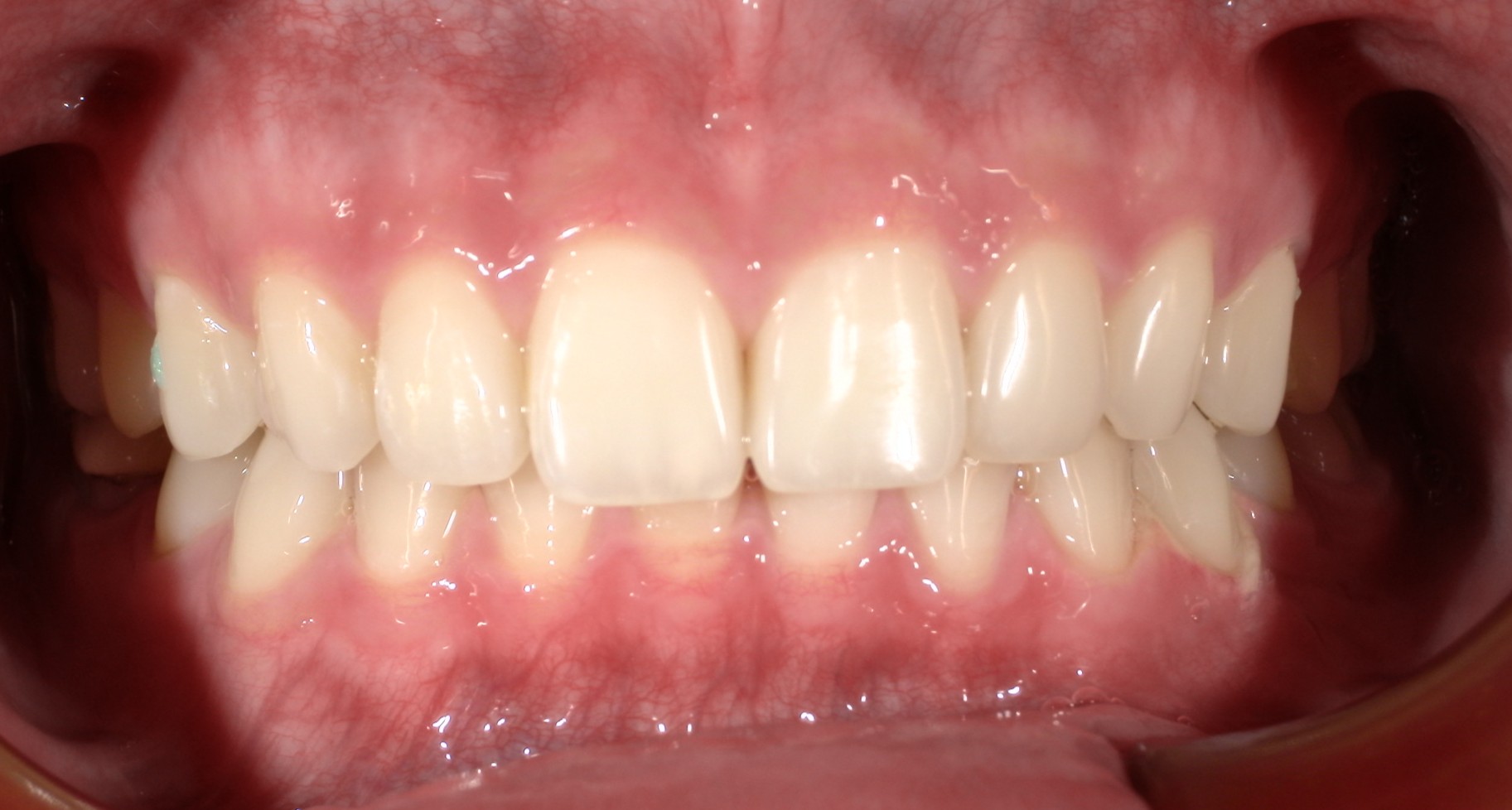
歯 ホワイトニング 術後 西田辺えがしら歯科
阿倍野区在住 ホワイトニング 審美症例 20才代 女性

 阿倍野区在住 ホワイトニング 審美症例 20才代 女性

阿倍野区在住の20代女性に歯のホワイトニングを施術した症例に...続きを読む

阿倍野区 ホワイトニング
阿倍野区在住 ホワイトニング 審美症例 50才代 女性

 阿倍野区在住 ホワイトニング 審美症例 50才代 女性

阿倍野区在住の50才代の女性に当院で歯のホワイトニングを行っ...続きを読む

阿倍野区 ホワイトニング
阿倍野区 在住 ホワイトニング 審美症例 40才代 女性

 阿倍野区 在住 ホワイトニング 審美症例 40才代 女性

阿倍野区在住の40才代の女性に歯のホワイトニングを行った審美...続きを読む

阿倍野区 歯 ホワイントニング
阿倍野区在住 ホワイトニング 30歳代 男性 審美症例

 阿倍野区在住 ホワイトニング 30歳代 男性 審美症例

阿倍野区在住の30才代の男性に当院で歯のホワイトニングを行っ...続きを読む

ホワイトニング後
阿倍野区 在住 ホワイトニング 審美症例 20才代 女性

 阿倍野区 在住 ホワイトニング 審美症例 20才代 女性

当院で歯のホワイトニング(スタンダードコース)を行った阿倍野...続きを読む

阿倍野区在住 20代男性 セラミックインレーの審美治療の症例

 阿倍野区在住 20代男性 セラミックインレーの審美治療の症例

阿倍野区在住の20才代の男性に当院のセレック・システムを用い...続きを読む

阿倍野区在住 50才代 男性 ジルコニアクラウンの審美治療の症例

 阿倍野区在住 50才代 男性 ジルコニアクラウンの審美治療の症例

阿倍野区在住の50才代の男性にジルコニアクラウンによる審美治...続きを読む

阿倍野区在住 20才代 女性 ホワイトニング

 阿倍野区在住 20才代 女性 ホワイトニング

こんにちは、阿倍野区の西田辺の歯医者、西田辺えがしら歯科です...続きを読む

阿倍野区 在住 ホワイトニング 審美症例 20才代 女性

 阿倍野区 在住 ホワイトニング 審美症例 20才代 女性

当院で歯のホワイトニング(スタンダードコース)を行った阿倍野...続きを読む

阿倍野区 ホワイトニング
住吉区在住 ホワイトニング 30歳代 女性 審美症例

 住吉区在住 ホワイトニング 30歳代 女性 審美症例

当院で歯のホワイトニング(スタンダードコース)を行った住吉区...続きを読む

住吉区在住 50歳代 女性 セラミック・インレー 審美治療 症例

 住吉区在住 50歳代 女性 セラミック・インレー 審美治療 症例

住吉区在住 50代女性の右上奥歯に当院のセレック システムを...続きを読む

阿倍野区在住40代女性 ジルコニアクラウン セラミックインレー セレック治療

 阿倍野区在住40代女性 ジルコニアクラウン セラミックインレー セレック治療

住吉区在住の40才代 女性 全顎奥歯にセレック治療によりジル...続きを読む

阿倍野区在住 ホワイトニング 審美症例 20才代 女性

 阿倍野区在住 ホワイトニング 審美症例 20才代 女性

阿倍野区在住の20才代の女性に阿倍野区の西田辺にある西田辺え...続きを読む

阿倍野区 在住 ホワイトニング 審美症例 40才代 女性

 阿倍野区 在住 ホワイトニング 審美症例 40才代 女性

当院で歯のホワイトニング(プレミアムコース)を行った阿倍野区...続きを読む

阿倍野区 歯 ホワイトニング 歯医者
阿倍野区在住 ホワイトニング 審美症例 30才代 女性  

 阿倍野区在住 ホワイトニング 審美症例 30才代 女性  

阿倍野区在住の30才代の女性に歯のホワイトニングを行った審美...続きを読む

阿倍野区 インビザライン
阿倍野区在住 インビザライン 審美矯正治療 症例 30代女性 審美矯正治療

 阿倍野区在住 インビザライン 審美矯正治療 症例 30代女性 審美矯正治療

阿倍野区在住でインビザラインによる審美矯正治療を行った症例で...続きを読む

阿倍野区 在住 ホワイトニング 審美症例 30代 女性

 阿倍野区 在住 ホワイトニング 審美症例 30代 女性

当院の歯のホワイトニング(スタンダードコース)を行った症例で...続きを読む

阿倍野区在住 前歯 ジルコニア セラミックス 審美治療 症例

 阿倍野区在住 前歯 ジルコニア セラミックス 審美治療 症例

  阿倍野区在住の70才代の女性にジルコニア セラ...続きを読む

阿倍野区 歯医者 インビザライン
阿倍野区 在住 インビザライン 審美矯正治療 症例 30才代 女性

 阿倍野区 在住 インビザライン 審美矯正治療 症例 30才代 女性

阿倍野区在住でインビザラインによる審美矯正治療を行った症例で...続きを読む

阿倍野区 在住 ホワイトニング 審美症例 30代 男性

 阿倍野区 在住 ホワイトニング 審美症例 30代 男性

歯の色が気になるということで30代の男性に、当院で歯のホワイ...続きを読む

阿倍野区 西田辺えがしら歯科 インビザライン 症例
住吉区 在住 インビザラインgo 審美矯正治療 症例 30才代 女性

 住吉区 在住 インビザラインgo 審美矯正治療 症例 30才代 女性

住吉区 在住 30才代女性の患者様にインビザラインgoによる...続きを読む

阿倍野区 西田辺えがしら歯科 ホワイトニング
住吉区 在住 ホワイトニング治療  審美症例  50才代 女性

 住吉区 在住 ホワイトニング治療 審美症例 50才代 女性

歯の色が気になるということで50才代の女性に、当院で歯のホワ...続きを読む

阿倍野区 西田辺えがしら歯科 ハイブリッド セラミック
東住吉区 在住 奥歯 ハイブリッド セラミックス インレー 審美症例 40才代 女性

 東住吉区 在住 奥歯 ハイブリッド セラミックス インレー 審美症例 40才代 女性

東住吉区 在住の奥歯の銀の詰め物を、ハイブリッド・セラミック...続きを読む

阿倍野区在住 セラミックス インレー修復 審美症例 40代 男性

 阿倍野区在住 セラミックス インレー修復 審美症例 40代 男性

患者さんは虫歯治療で来院されました。 左下の臼歯部に穴があい...続きを読む

阿倍野区在住 奥歯 セラミックスインレー 審美症例 40代 女性

 阿倍野区在住 奥歯 セラミックスインレー 審美症例 40代 女性

阿倍野区在住の奥歯をセラミック・インレー治療を行った審美症例...続きを読む

阿倍野区在住 奥歯 セラミック・インレー 審美症例 50才代 女性

 阿倍野区在住 奥歯 セラミック・インレー 審美症例 50才代 女性

阿倍野区在住の奥歯をセラミック・インレー治療を行った50才代...続きを読む

ホームホワイトニング

 ホームホワイトニング

阿倍野区在住の30代女性のホームホワイトニングの審美歯科治療...続きを読む

オフィスホワイトニング

 オフィスホワイトニング

大阪市阿倍野区西田辺の歯医者「えがしら歯科」 歯科衛生士 末...続きを読む

阿倍野区在住 奥歯 ジルコニア・セラミックス・クラウン 審美症例 20才代 男性

 阿倍野区在住 奥歯 ジルコニア・セラミックス・クラウン 審美症例 20才代 男性

阿倍野区在住の奥歯をジルコニア・セラミックス・クラウン治療を...続きを読む

歯並びの良い女性
インビサライン 審美矯正 症例  20才代 女性

 インビサライン 審美矯正 症例  20才代 女性

インビサラインによるマウスピース矯正 審美症例  20才代 ...続きを読む

  • 【1】
  • 【2】
  • 【3】
  • 【次の30件】

instagram

オフィシャルアカウント

朝来院して、夕方には白い歯に✨「1Dayセラミック」って知ってる?🦷 「セラミックにしたいけど、何 朝来院して、夕方には白い歯に✨「1Dayセラミック」って知ってる?🦷

「セラミックにしたいけど、何度も通うのは忙しくて無理…🥺」
そんなお悩みを解決するのが、当院のセレックシステムです!

従来のセラミック治療は、型取りをしてから完成まで約2週間かかるのが一般的でした。
しかし、当院の最新設備なら驚きのスピードで治療が完了します💡

セレック治療のメリットをまとめました👇

✅ 最短120分!通院1回で完了
院内で設計から製作までを行うため、削ったその日のうちに真っ白で美しい歯が入ります。忙しい方や、遠方からお越しの方にもぴったりです。(※症例により異なります)

✅ 不快な「型取り」が不要!
粘土のような材料をお口に入れる必要はありません。最新のスキャナーで歯を撮影するだけなので、オエッとなりにくく、精密なデータが取れます😊

✅ 高品質な仕上がり💎
コンピューター制御で削り出すため、精度の高い被せ物が作製可能。見た目も天然歯のように自然で美しく仕上がります。

「大事なイベントまでに歯をきれいにしたい!」
「何度も麻酔をするのが嫌だ」
そんな方は、ぜひお気軽に当院へご相談ください😊

ーーーーーーーーーーーーーーーーーーー
西田辺えがしら歯科🦷
〒545-0021
大阪市阿倍野区阪南町5-23-15
西田辺林ビル
Web予約はプロフィール欄のリンクから24時間OK!👇
https://ega-dental.net/
☎06-6693-4618
診療時間⏲
【月~土】9:00~17:30
【休診日】日曜・祝日
ーーーーーーーーーーーーーーーーーーーー

#西田辺えがしら歯科 #阿倍野区歯科医院 #セレック #1Dayセラミック #時短治療
歯茎が下がる原因は「歯磨き」?20代女性の歯肉移植(FGG)で見た目を回復!🦷✨ 「最近、歯が長く 歯茎が下がる原因は「歯磨き」?20代女性の歯肉移植(FGG)で見た目を回復!🦷✨

「最近、歯が長くなった気がする…」
「歯茎が痩せて下がってきたのが気になる」
それ、実は毎日の「歯磨き」が原因かもしれません!🪥⚡️

今回は、歯肉退縮(歯茎が下がること)に悩む20代女性の症例をご紹介します。

検査の結果、歯周病ではなく**「ブラッシングの圧が強すぎること」**が原因で歯茎が下がってしまっていました。
まだお若い方ですが、放置すると将来さらに悪化するリスクがあるため、当院では以下のステップで治療を行いました👇

① 歯科衛生士による正しいブラッシング指導
まずはこれ以上下げないために、適切な力加減をマスターしていただきました✨
② 歯肉移植術(FGG)
ご自身の歯茎の一部を移植する外科的処置を行い、歯肉の厚みを確保しました。

移植によって下がった部分をしっかりとカバー。
見た目もこれほど綺麗に、健康的に回復しました😊👏

歯肉移植は見た目の改善だけでなく、**「今後さらに歯茎が下がるのを防ぐ」**という将来への大きなメリットがあります。

「自分の磨き方は大丈夫かな?」「歯茎が下がって不安…」という方は、ぜひ一度ご相談ください。
今のケアが、10年後、20年後のお口の健康を守ります🌿

ーーーーーーーーーーーーーーーーーーー
🦷 医療法人優伸会 西田辺えがしら歯科🦷
〒545-0021
大阪市阿倍野区阪南町5-23-15西田辺林ビル(西田辺駅前)
☎ 06-6693-4618

ご予約はこちらから🔎
https://apo-toolboxes.stransa.co.jp/user/web/ac1436e0cc9e268498b5d8fecba09e8c/reservations

診療時間
【月曜日~土曜日】 9:00~17:30
休診:日曜・祝日
*予約制ですが、急な痛みなどは随時対応しています*
ーーーーーーーーーーーーーーーーーーーー

#西田辺えがしら歯科 #阿倍野区歯科医院 #歯肉移植 #歯茎が下がる #FGG
アップロードいただいた画像に基づき、Instagram投稿用のキャプションを作成しました。 「セラ アップロードいただいた画像に基づき、Instagram投稿用のキャプションを作成しました。

「セラミックは高い」という先入観を持つユーザーに対し、**「長期的なコストパフォーマンス」と「健康への投資」**という視点を持ってもらえるような、説得力のある構成にしています。

キャプション案
「セラミック治療、興味はあるけど実際いくら?」
そんな疑問に、当院の価格帯を正直に全部公開します🦷✨

「高いから銀歯でいいかな…」と迷っている方にこそ知ってほしい、10年後のコスト比較もまとめました!

当院のセラミック価格帯(1歯・税別)👇
💎 オールセラミック(被せ物):¥115,500
最も美しく、本物の歯に近い透明感。
💎 セラミックメタルボンド(被せ物):¥130.000
金属の強度とセラミックの美しさを兼ね備え、奥歯にも最適。
💎 ハイブリッドセラミック(被せ物):¥73.700
プラスチックを混ぜることでコストを抑えつつ、白さを実現。
※詰め物としてもお使いいただけます!

⚠️ 銀歯との10年コスト比較
一見安く済む銀歯ですが、実は5〜7年で「二次虫歯」になりやすいというリスクも…。
再治療を繰り返すと、結果的に通院の手間や費用がかさみ、何より「大切な自分の歯」を削り続けることになってしまいます。

一方、セラミックは二次虫歯になりにくく寿命も長いため、10年単位で考えると健康な歯を守れるだけでなく、トータルのコスパも優秀なんです😊

「自分にはどのタイプが合うの?」
「支払い方法について相談したい」
そんな方は、ぜひ当院の無料カウンセリングをご利用ください✨

ーーーーーーーーーーーーーーーーーーー
西田辺えがしら歯科🦷
〒545-0021
大阪市阿倍野区阪南町5-23-15 西田辺林ビル
(地下鉄御堂筋線「西田辺駅」4番出口すぐ!)
Web予約はプロフィール欄のリンクから👆
☎06-6693-4618
ーーーーーーーーーーーーーーーーーーーー
#西田辺えがしら歯科 #阿倍野区歯科医院 #西田辺歯科医院 #セラミック治療 #審美歯科
左下奥歯のインプラント🦷✨自然な見た目と機能回復【30代男性の症例紹介】 「歯の根っこが割れてしま 左下奥歯のインプラント🦷✨自然な見た目と機能回復【30代男性の症例紹介】

「歯の根っこが割れてしまい、抜歯が必要に…」
「若いけれど、入れ歯ではなく自分の歯のようにしっかり噛みたい」

以前ブリッジ治療をされていた箇所ですが、歯ぎしりや強い食いしばりの影響で歯の保存が難しく、抜歯することになった30代男性の症例です🦷

選択肢は「インプラント」か「入れ歯」でしたが、
**『これまで通りしっかり噛めるようになりたい』**というご希望から、インプラント治療を選択されました。

治療後は見た目も自分の歯のように自然に仕上がり、
何より「しっかり噛める!」と大変喜んでいただけました😊🙌

インプラントは高齢の方だけの治療ではありません。
30代・40代といったお若い方こそ、残りの長い人生を「自分の歯と同じ感覚」で過ごすための価値ある選択肢です✨

歯の欠損や、食いしばりによるトラブルでお悩みの方、まずはお気軽にご相談ください😌
ーーーーーーーーーーーーーーーーーーー

🦷 医療法人優伸会 西田辺えがしら歯科🦷
〒545-0021
大阪市阿倍野区阪南町5-23-15西田辺林ビル(西田辺駅前)
☎ 06-6693-4618

ご予約はこちらから🔎
https://apo-toolboxes.stransa.co.jp/user/web/ac1436e0cc9e268498b5d8fecba09e8c/reservations

診療時間
【月曜日~土曜日】 9:00~17:30
休診:日曜・祝日
*予約制ですが、急な痛みなどは随時対応しています*
ーーーーーーーーーーーーーーーーーーーー

#大阪歯医者 #阿倍野区歯医者 #西田辺えがしら歯科 #インプラント #インプラント症例
虫歯治療のあと、「とりあえず銀歯で」と決めていませんか?🤔 実は、選ぶ素材によって「歯の寿命」が大き 虫歯治療のあと、「とりあえず銀歯で」と決めていませんか?🤔
実は、選ぶ素材によって「歯の寿命」が大きく変わるかもしれません。

今回は、当院がおすすめしている「セレック(セラミック治療)」の驚きのメリットをご紹介します✨

銀歯よりセラミックが優れている理由🦷
✔ 二次虫歯になりにくい:精密な修復で、菌の侵入を徹底ガード!
✔ 見た目がとっても自然:天然歯のような白さと透明感。
✔ 体に優しい:金属アレルギーの心配がなく、歯ぐきの変色も防げます。
✔ 長持ちしやすい:15年後の残存率はなんと約93%というデータも!

銀歯は安価で丈夫という良さもありますが、経年劣化で汚れがつきやすかったり、中で虫歯が再発したりするリスクも…。

「ずっと自分の歯でおいしく食事をしたい」
「思いきり笑える白い歯を手に入れたい」
そんな想いに寄り添い、生涯を見据えた良質な治療をご提案します😊

当院では無料カウンセリングを実施中!
気になる方は、プロフィール欄のリンクまたはお電話からお気軽にご予約ください。

ーーーーーーーーーーーーーーーーーーー
西田辺えがしら歯科🦷
審美・歯周・インプラントセンター
〒545-0021
大阪市阿倍野区阪南町5-23-15 西田辺林ビル
(地下鉄御堂筋線「西田辺駅」4番出口すぐ!)

24時間WEB予約OK👇
https://ega-dental.net/
☎06-6693-4618
ーーーーーーーーーーーーーーーーーーーー
#阿倍野区歯科医院 #セレック #セラミック治療 #審美歯科大阪 #西田辺えがしら歯科
右下の奥歯に3本のインプラント🦷✨歯の生まれ変わり【50代男性の症例紹介】 「奥歯が抜けていて、し 右下の奥歯に3本のインプラント🦷✨歯の生まれ変わり【50代男性の症例紹介】

「奥歯が抜けていて、しっかり噛めない…」
「自分の歯のように噛めるようになりたい」

右下の奥歯3本にインプラントを入れ、約4ヶ月後に
見た目も自然で、自分の歯のように噛める状態を実現!
患者様にも大変喜んでいただけました😊🙌

奥歯の欠損でお悩みの方、ぜひお気軽にご相談ください😌
ーーーーーーーーーーーーーーーーーーー

🦷 医療法人優伸会 西田辺えがしら歯科🦷
〒545-0021
大阪市阿倍野区阪南町5-23-15西田辺林ビル(西田辺駅前)
☎ 06-6693-4618

ご予約はこちらから🔎
https://apo-toolboxes.stransa.co.jp/user/web/ac1436e0cc9e268498b5d8fecba09e8c/reservations

診療時間
【月曜日~土曜日】 9:00~17:30
休診:日曜・祝日
*予約制ですが、急な痛みなどは随時対応しています*
ーーーーーーーーーーーーーーーーーーーー

#大阪歯医者 #阿倍野区歯医者 #西田辺えがしら歯科 #大阪歯科医院 #阿倍野区歯科医院
#インプラント #大阪インプラント #インプラント治療 #奥歯インプラント #インプラント症例
#歯の欠損 #奥歯 #噛めない #インプラント費用
「銀歯が目立つのが気になる…」そんな悩み、ありませんか?🪞 笑ったとき、口を開けたとき、ふとした瞬 「銀歯が目立つのが気になる…」そんな悩み、ありませんか?🪞

笑ったとき、口を開けたとき、ふとした瞬間に気になる銀歯。 セラミックに変えることで、自然な白さと透明感のある歯に整えることができます✨

今回は当院の銀歯→セラミック治療のビフォーアフター症例をご紹介します。
 奥歯の銀歯も、前歯の着色・変色も、セラミックで対応できる場合があります。

「自分も変われるかな?」と思ったら、まずはお気軽にご相談ください🌿 
※治療結果には個人差があります。

ーーーーーーーーーーーーーーーーーーー 
🦷 西田辺えがしら歯科 🦷 
審美・歯周・インプラントセンター

〒545-0021 大阪市阿倍野区阪南町5-23-15 西田辺林ビル 
🚇 地下鉄御堂筋線 西田辺駅 4番出口すぐ 
☎ 06-6693-4618

WEB予約はこちら(24時間受付)🔎 https://ega-dental.net
 ーーーーーーーーーーーーーーーーーーーー

#大阪歯医者 #阿倍野歯医者 #西田辺歯医者 #西田辺えがしら歯科 #セラミック #銀歯からセラミック #審美歯科 #歯のコンプレックス #前歯 #歯のホワイトニング #大阪審美歯科 #笑顔
Instagram でフォロー

instagram

求人アカウント

こんにちは😃 この度、メンテナンスに10年以上一度も中断することなく通ってくださった患者さまに、 こんにちは😃

この度、メンテナンスに10年以上一度も中断することなく通ってくださった患者さまに、
感謝の気持ちを込めて表彰状とプレゼントをお渡ししました🌟🩷🥇

歯は、毎日の生活を支える大切な宝物です。
痛くなってからではなく、健康な状態を守るために通い続けることがとても大切です🦷✨

これからも皆さまのお口の健康を守るお手伝いができるよう、スタッフ一同サポートしていきます。

長年通っていただき、本当にありがとうございます😊
先月、2026年度の新年会を行いました🌸 今回は‎🤍“馬コーデ”🤎がテーマでした🐴✨🖤 ⁡ 去年の下 先月、2026年度の新年会を行いました🌸
今回は‎🤍“馬コーデ”🤎がテーマでした🐴✨🖤
⁡
去年の下半期のMVPの表彰もありました🎖
⁡
新年会終わりにデザートのクレープも食べに行きました🍓
⁡
良いスタートとなりました💨⚡️
今年も1年みんなで頑張ります🔥🤜🤛🔥
⁡
#西田辺 #歯医者 #西田辺えがしら歯科 #インプラント #ホワイトニング
えがしら歯科の年末の様子🎄🧹🎍 こんにちは西田辺えがしら歯科です! クリスマスツリーの飾りつけや大 えがしら歯科の年末の様子🎄🧹🎍

こんにちは西田辺えがしら歯科です!
クリスマスツリーの飾りつけや大掃除は
スタッフみんなで行います✨
年明けからもクリーンな気持ちでお越しいただけますように🧼

#西田辺 #西田辺えがしら歯科 #歯医者 #歯科衛生士 #歯科衛生士さんと繋がりたい #歯科衛生士の卵 #歯科衛生士学校 #ホワイトニング #インプラント #インビザ #歯周病治療 #むし歯治療 #セラミック#阿倍野区歯医者 #歯科助手 #求人募集 #歯科助手募集
お昼休みに院長おすすめの辛いカレーを挑戦者でいただきました💖🍛 #マガリーダッタ さんのカレーです♪ お昼休みに院長おすすめの辛いカレーを挑戦者でいただきました💖🍛
#マガリーダッタ さんのカレーです♪
辛味もありますがすごく美味しかったです(^^)
院長ありがとうございました🥹
#歯科衛生士 #えがしら歯科 #歯科衛生士の卵 #西田辺歯医者 #駅近 #産休育休実績あり #学べる環境 #成長できる職場 #成長できる職場 #産休育休制度あり #インプラント #阿倍野区歯医者 #阿倍野区 #西田辺駅 #歯医者 #カウンセリング
こんにちは!西田辺えがしら歯科です🦷🪥 先日、院長にご飯連れて行っていただきました✨✨ スタッフ全 こんにちは!西田辺えがしら歯科です🦷🪥

先日、院長にご飯連れて行っていただきました✨✨
スタッフ全員初のたちうお屋さんです🙄🙄

メンバーは先日の秋の会の際に院長と一緒の席だったメンバーです✨🫶
1人は1ヶ月前に入社してくれたスタッフです🙆
新人スタッフでもすぐに仲良くなれるところが魅力です☺️☀️

#歯科衛生士 #西田辺 #えがしら歯科 #歯科衛生士の卵 #西田辺歯医者 #駅近 #産休育休実績あり #学べる環境 #歯医者 #歯科衛生士と繋がりたい #歯科衛生士募集 #歯科助手 #歯科助手募集 #歯科助手募集中 #歯科技工士 #西田辺えがしら歯科 #ホワイトニンク #インプラント #予防歯科
優勝は果たして…🤩🍫 こんにちは、西田辺えがしら歯科です🦷 11/11はお昼にポッキー選手権を行い 優勝は果たして…🤩🍫

こんにちは、西田辺えがしら歯科です🦷
11/11はお昼にポッキー選手権を行いました✨
細いお菓子を持ち寄って,一番美味しいお菓子を決めました!

被ったらドボンだったのですが、6人被ってしまいました😭笑

美味しくいただいたあとはミーティングを行いました。
医院理念実現のための大切な時間です✨

#ポッキーの日 #お菓子パーティー #いい歯の日 #ポッキー  #おうちパーティー 
#tc募集#カウンセラー募集#歯科助手募集#阿部野区#西田辺#西田辺歯医者#えがしら歯科#駅近#成長できる職場#学べる環境#歯科衛生士#2026年卒歯科衛生士#歯科衛生士の卵#産休育休制度あり#産休育休実績あり#dentalhygieneist #自己実現 #選択理論 #理念
『えがしら歯科を自己実現の舞台とし、Oneteamとして患者さんに貢献できる組織になる!』という目的 『えがしら歯科を自己実現の舞台とし、Oneteamとして患者さんに貢献できる組織になる!』という目的を立てて
理念Bookをもとに研修を行いました🌱🩷
理念Bookの表紙はスタッフがデザインしたものになります(*´˘`*)
ワークやディスカッションを通して、自分・仲間・医院のことを深く掘り下げて絆を育む時間になりました❣️
研修後はチーズのお店で懇親会🍂秋コーデで楽しく素敵な時間でした!🫕

#tc募集#カウンセラー募集#歯科助手募集#阿部野区#西田辺#西田辺歯医者#えがしら歯科#駅近#成長できる職場#学べる環境#歯科衛生士#2026年卒歯科衛生士#歯科衛生士の卵#産休育休制度あり#産休育休実績あり#dentalhygieneist #自己実現 #選択理論 #理念 #院内研修 #中華料理イシダ #原価ビストロチーズプラス
Instagram でフォロー

TOPICS 新着情報

虫歯の原因とならない代用甘味料の利用法|甘いものを楽しみながら虫歯予防 2026年03月23日16時24分 【歯の豆知識】
虫歯の原因とならない代用甘味料の利用法|甘いものを楽しみながら虫歯予防
こんにちは。西田辺えがしら歯科の院長 江頭です。 日常、診療をしていると、「甘いものが好きなんですけ...続きを読む
阿倍野区在住 ホワイトニング 審美症例 20才代 女性 2026年03月17日15時50分 【審美治療症例集】
阿倍野区在住 ホワイトニング 審美症例 20才代 女性
阿倍野区在住の20代女性に歯のホワイトニングを施術した症例になります。 歯のホワイトニングにはホーム...続きを読む
50歳から始める歯周病予防のポイント 2026年03月06日16時16分 【歯の豆知識】
50歳から始める歯周病予防のポイント
50歳を過ぎると、「歯茎が下がってきた気がする」「歯みがきの時に血が出る」「口の中がねばつく」「食べ...続きを読む
歯の咬耗と治療法 2026年02月17日17時24分 【歯の豆知識】
歯の咬耗と治療法
「歯がすり減ってきた」 「前歯が短くなった気がする」 「歯ぎしりを指摘されたことがある」 このような...続きを読む
歯茎から出血する原因は?痛くないのに血が出る理由と正しい対処法 2026年01月30日15時16分 【歯の豆知識】
歯茎から出血する原因は?痛くないのに血が出る理由と正しい対処法
歯磨きをしたときやフロスを通したときに、歯茎から血が出た経験はありませんか。洗面台に赤い血がつくと驚...続きを読む
妊娠中の歯科治療は赤ちゃんに影響する?レントゲン・麻酔・薬の安全性を解説 2026年01月20日15時09分 【歯の豆知識】
妊娠中の歯科治療は赤ちゃんに影響する?レントゲン・麻酔・薬の安全性を解説
妊娠がわかると、「歯が痛いけれど治療して大丈夫だろうか」「歯科のレントゲン、麻酔、薬が赤ちゃん(胎児...続きを読む
コンポジットレジン治療は大丈夫?白い詰め物の寿命・デメリットと適応を歯科医が解説 2026年01月07日12時10分 【歯の豆知識】
コンポジットレジン治療は大丈夫?白い詰め物の寿命・デメリットと適応を歯科医が解説
「コンポジットレジン(以下CR))の白い詰め物って本当に大丈夫?」「すぐ取れる?割れる?」「銀歯より...続きを読む
【2026年 新年のご挨拶】予防を強化し、歯を守る一年へ 2026年01月01日8時00分 【院長ブログ】
【2026年 新年のご挨拶】予防を強化し、歯を守る一年へ
謹んで新年のご挨拶を申し上げます。 旧年中は西田辺えがしら歯科にご来院いただき、誠にありがとうござい...続きを読む
根尖性歯周炎とは?痛くないのに進行する歯の根の病気と歯性上顎洞炎の関係 2025年12月27日9時00分 【歯の豆知識】
根尖性歯周炎とは?痛くないのに進行する歯の根の病気と歯性上顎洞炎の関係
根尖性歯周炎(こんせんせいししゅうえん)とは 大阪市阿倍野区西田辺の歯医者「西田辺えがしら歯科」の院...続きを読む
健康診断で歯周病の検査が追加 2025年12月19日8時56分 【歯の豆知識】
健康診断で歯周病の検査が追加
近年、企業などの会社での健康診断の項目に「歯周病検査」が追加されるケースが増えてきています。 大阪市...続きを読む
歯周病と高脂血症 2025年12月09日16時47分 【歯の豆知識】
歯周病と高脂血症
「コレステロールが高いと言われた」「中性脂肪の数字が気になる」。 健康診断や人間ドックの結果を見て、...続きを読む
年末年始の休診日のお知らせ 2025年12月09日15時06分 【お知らせ】
年末年始の休診日のお知らせ
令和7年12月30日(火)より、令和8年1月5日(月)まで、冬季休暇のため休診させていただきます。 ...続きを読む
歯周病と認知症 2025年11月22日16時44分 【歯の豆知識】
歯周病と認知症
「歯周病」と「認知症」は関係あるの?~歯茎の健康と、脳の健康のお話~ 大阪市阿倍野区西田辺の歯医者「...続きを読む
インプラント研修報告2025.11 口腔内スキャナーのアップデート 歯科医院での活用法についての研修 2025年11月21日14時51分 【院長ブログ】
インプラント研修報告2025.11 口腔内スキャナーのアップデート 歯科医院での活用法についての研修
先日、私が所属している大阪口腔インプラント研究会の研修会に参加してきました。 「口腔内スキャナーのア...続きを読む
虫歯や歯周病は「遺伝する」のか 2025年11月04日15時25分 【歯の豆知識】
虫歯や歯周病は「遺伝する」のか
「親に虫歯が多かったから、子供も虫歯になりやすい?」 「家系的に歯周病になりやすいと言われた」 外来...続きを読む
口臭がする原因と自分で出来る対処法と当院での治療の流れ 2025年10月17日16時08分 【歯の豆知識】
口臭がする原因と自分で出来る対処法と当院での治療の流れ
「マスクの中で自分の息が気になる」 「家族に口臭を指摘された」 こうしたご相談は珍しくありません。 ...続きを読む
10/7㈫休診のお知らせ 2025年10月06日8時22分 【お知らせ】
10/7㈫休診のお知らせ
明日10月7日火曜日は、院内研修のため休診日とさせていただきます。 お電話もつながりませんので、ご了...続きを読む
銀歯が痛くなったと時の原因と対処法 2025年10月04日12時06分 【歯の豆知識】
銀歯が痛くなったと時の原因と対処法
「噛むとズキッとする」 「冷たいものがしみる」 「何となく押される感じが続く」 一度治療して被せた“...続きを読む
虫歯治療で使用される麻酔の種類や特徴 2025年09月19日16時31分 【歯の豆知識】
虫歯治療で使用される麻酔の種類や特徴
虫歯治療で使用される麻酔の種類や特徴について阿倍野区西田辺えがしら歯科が解説します。 皆さんは、歯科...続きを読む
歯医者が自費治療をすすめる理由 2025年09月09日17時03分 【歯の豆知識】
歯医者が自費治療をすすめる理由
歯科医院で治療を受けるときに、 「こちらは保険でできます」 「この治療は自費になります」 と説明を受...続きを読む
オーラルフレイルってなに?年代別の口の老化対策 2025年08月30日14時01分 【歯の豆知識】
オーラルフレイルってなに?年代別の口の老化対策
オーラルフレイルとは、年齢を重ねることで口の機能が低下し、食べる力や話す力が弱まることです。 それは...続きを読む
夏季休暇のお知らせ 2025年08月06日7時15分 【お知らせ】
夏季休暇のお知らせ
8/10(日)~8/15(金)まで夏季休暇のため、休診とさせていただきます。 8/16(土)9:00...続きを読む
インプラント研修報告2025.8 歯科用CTについての研修 2025年08月05日17時11分 【院長ブログ】
インプラント研修報告2025.8 歯科用CTについての研修
先日、私が所属している大阪口腔インプラント研究会の研修会に参加してきました。 その内容を、分かりやす...続きを読む
デジタルデンティストリーとは? 2025年08月02日13時10分 【歯の豆知識】
デジタルデンティストリーとは?
デジタルデンティストリーとは?について、阿倍野区の歯医者 西田辺えがしら歯科の歯の豆知識ページです。...続きを読む
アマルガムの見分け方と対処法 2025年07月18日13時12分 【歯の豆知識】
アマルガムの見分け方と対処法
歯科用アマルガムの見分け方と対処法ついて、阿倍野区の歯医者 西田辺えがしら歯科の歯の豆知識ページです...続きを読む
虫歯治療したところが、また虫歯に⁉虫歯の再発(二次カリエス)を防ぐには? 2025年07月01日10時46分 【歯の豆知識】
虫歯治療したところが、また虫歯に⁉虫歯の再発(二次カリエス)を防ぐには?
  虫歯治療したところが、また虫歯に⁉虫歯の再発(二次カリエス)を防ぐには?...続きを読む
1Dayセラミックとは 2025年06月20日12時03分 【歯の豆知識】
1Dayセラミックとは
1Dayセラミック治療は、セラミック製の歯の詰め物や被せ物(クラウン)を、最短120分で作製・装着で...続きを読む
インプラント2本連結のメリットとデメリット 2025年06月09日15時39分 【歯の豆知識】
インプラント2本連結のメリットとデメリット
インプラント2本連結のメリットとデメリットについて、阿倍野区の歯医者 西田辺えがしら歯科の歯の豆知識...続きを読む
銀歯のメタルタトゥーとは?治療する方法(画像あり) 2025年06月03日9時40分 【歯の豆知識】
銀歯のメタルタトゥーとは?治療する方法(画像あり)
銀歯のメタルタトゥーとは?治療する方法は?について。阿倍野区の歯医者 西田辺えがしら歯科の歯の豆知識...続きを読む
あなたの歯石、取り残されてる?歯科衛生士の技術力で変わる口腔ケア 2025年05月23日17時47分 【歯の豆知識】
あなたの歯石、取り残されてる?歯科衛生士の技術力で変わる口腔ケア
定期的な歯のクリーニングは、虫歯や歯周病を予防するうえでとても重要です。 しかし、「歯科医院でクリー...続きを読む

歯の豆知識

虫歯の原因とならない代用甘味料の利用法|甘いものを楽しみながら虫歯予防 2026年03月23日16時24分 【歯の豆知識】
虫歯の原因とならない代用甘味料の利用法|甘いものを楽しみながら虫歯予防
こんにちは。西田辺えがしら歯科の院長 江頭です。 日常、診療をしていると、「甘いものが好きなんですけ...続きを読む
50歳から始める歯周病予防のポイント 2026年03月06日16時16分 【歯の豆知識】
50歳から始める歯周病予防のポイント
50歳を過ぎると、「歯茎が下がってきた気がする」「歯みがきの時に血が出る」「口の中がねばつく」「食べ...続きを読む
歯の咬耗と治療法 2026年02月17日17時24分 【歯の豆知識】
歯の咬耗と治療法
「歯がすり減ってきた」 「前歯が短くなった気がする」 「歯ぎしりを指摘されたことがある」 このような...続きを読む
歯茎から出血する原因は?痛くないのに血が出る理由と正しい対処法 2026年01月30日15時16分 【歯の豆知識】
歯茎から出血する原因は?痛くないのに血が出る理由と正しい対処法
歯磨きをしたときやフロスを通したときに、歯茎から血が出た経験はありませんか。洗面台に赤い血がつくと驚...続きを読む
妊娠中の歯科治療は赤ちゃんに影響する?レントゲン・麻酔・薬の安全性を解説 2026年01月20日15時09分 【歯の豆知識】
妊娠中の歯科治療は赤ちゃんに影響する?レントゲン・麻酔・薬の安全性を解説
妊娠がわかると、「歯が痛いけれど治療して大丈夫だろうか」「歯科のレントゲン、麻酔、薬が赤ちゃん(胎児...続きを読む
コンポジットレジン治療は大丈夫?白い詰め物の寿命・デメリットと適応を歯科医が解説 2026年01月07日12時10分 【歯の豆知識】
コンポジットレジン治療は大丈夫?白い詰め物の寿命・デメリットと適応を歯科医が解説
「コンポジットレジン(以下CR))の白い詰め物って本当に大丈夫?」「すぐ取れる?割れる?」「銀歯より...続きを読む
根尖性歯周炎とは?痛くないのに進行する歯の根の病気と歯性上顎洞炎の関係 2025年12月27日9時00分 【歯の豆知識】
根尖性歯周炎とは?痛くないのに進行する歯の根の病気と歯性上顎洞炎の関係
根尖性歯周炎(こんせんせいししゅうえん)とは 大阪市阿倍野区西田辺の歯医者「西田辺えがしら歯科」の院...続きを読む
健康診断で歯周病の検査が追加 2025年12月19日8時56分 【歯の豆知識】
健康診断で歯周病の検査が追加
近年、企業などの会社での健康診断の項目に「歯周病検査」が追加されるケースが増えてきています。 大阪市...続きを読む
歯周病と高脂血症 2025年12月09日16時47分 【歯の豆知識】
歯周病と高脂血症
「コレステロールが高いと言われた」「中性脂肪の数字が気になる」。 健康診断や人間ドックの結果を見て、...続きを読む
歯周病と認知症 2025年11月22日16時44分 【歯の豆知識】
歯周病と認知症
「歯周病」と「認知症」は関係あるの?~歯茎の健康と、脳の健康のお話~ 大阪市阿倍野区西田辺の歯医者「...続きを読む
虫歯や歯周病は「遺伝する」のか 2025年11月04日15時25分 【歯の豆知識】
虫歯や歯周病は「遺伝する」のか
「親に虫歯が多かったから、子供も虫歯になりやすい?」 「家系的に歯周病になりやすいと言われた」 外来...続きを読む
口臭がする原因と自分で出来る対処法と当院での治療の流れ 2025年10月17日16時08分 【歯の豆知識】
口臭がする原因と自分で出来る対処法と当院での治療の流れ
「マスクの中で自分の息が気になる」 「家族に口臭を指摘された」 こうしたご相談は珍しくありません。 ...続きを読む
銀歯が痛くなったと時の原因と対処法 2025年10月04日12時06分 【歯の豆知識】
銀歯が痛くなったと時の原因と対処法
「噛むとズキッとする」 「冷たいものがしみる」 「何となく押される感じが続く」 一度治療して被せた“...続きを読む
虫歯治療で使用される麻酔の種類や特徴 2025年09月19日16時31分 【歯の豆知識】
虫歯治療で使用される麻酔の種類や特徴
虫歯治療で使用される麻酔の種類や特徴について阿倍野区西田辺えがしら歯科が解説します。 皆さんは、歯科...続きを読む
歯医者が自費治療をすすめる理由 2025年09月09日17時03分 【歯の豆知識】
歯医者が自費治療をすすめる理由
歯科医院で治療を受けるときに、 「こちらは保険でできます」 「この治療は自費になります」 と説明を受...続きを読む
オーラルフレイルってなに?年代別の口の老化対策 2025年08月30日14時01分 【歯の豆知識】
オーラルフレイルってなに?年代別の口の老化対策
オーラルフレイルとは、年齢を重ねることで口の機能が低下し、食べる力や話す力が弱まることです。 それは...続きを読む
デジタルデンティストリーとは? 2025年08月02日13時10分 【歯の豆知識】
デジタルデンティストリーとは?
デジタルデンティストリーとは?について、阿倍野区の歯医者 西田辺えがしら歯科の歯の豆知識ページです。...続きを読む
アマルガムの見分け方と対処法 2025年07月18日13時12分 【歯の豆知識】
アマルガムの見分け方と対処法
歯科用アマルガムの見分け方と対処法ついて、阿倍野区の歯医者 西田辺えがしら歯科の歯の豆知識ページです...続きを読む
虫歯治療したところが、また虫歯に⁉虫歯の再発(二次カリエス)を防ぐには? 2025年07月01日10時46分 【歯の豆知識】
虫歯治療したところが、また虫歯に⁉虫歯の再発(二次カリエス)を防ぐには?
  虫歯治療したところが、また虫歯に⁉虫歯の再発(二次カリエス)を防ぐには?...続きを読む
1Dayセラミックとは 2025年06月20日12時03分 【歯の豆知識】
1Dayセラミックとは
1Dayセラミック治療は、セラミック製の歯の詰め物や被せ物(クラウン)を、最短120分で作製・装着で...続きを読む
インプラント2本連結のメリットとデメリット 2025年06月09日15時39分 【歯の豆知識】
インプラント2本連結のメリットとデメリット
インプラント2本連結のメリットとデメリットについて、阿倍野区の歯医者 西田辺えがしら歯科の歯の豆知識...続きを読む
銀歯のメタルタトゥーとは?治療する方法(画像あり) 2025年06月03日9時40分 【歯の豆知識】
銀歯のメタルタトゥーとは?治療する方法(画像あり)
銀歯のメタルタトゥーとは?治療する方法は?について。阿倍野区の歯医者 西田辺えがしら歯科の歯の豆知識...続きを読む
あなたの歯石、取り残されてる?歯科衛生士の技術力で変わる口腔ケア 2025年05月23日17時47分 【歯の豆知識】
あなたの歯石、取り残されてる?歯科衛生士の技術力で変わる口腔ケア
定期的な歯のクリーニングは、虫歯や歯周病を予防するうえでとても重要です。 しかし、「歯科医院でクリー...続きを読む
インプラント治療とは?流れ・期間・痛みをわかりやすく解説 2025年05月16日17時24分 【歯の豆知識】
インプラント治療とは?流れ・期間・痛みをわかりやすく解説
インプラント治療とは?流れ・期間・痛みをわかりやすく解説している、阿倍野区の歯医者 西田辺えがしら歯...続きを読む
インプラント治療のメリットとデメリットの徹底比較 2025年05月09日16時31分 【歯の豆知識】
インプラント治療のメリットとデメリットの徹底比較
インプラント治療のメリットとデメリットの徹底比較について、阿倍野区の歯医者 西田辺えがしら歯科の歯の...続きを読む
口腔機能低下症 2025年05月02日17時30分 【歯の豆知識】
口腔機能低下症
口腔機能低下症についてについて、阿倍野区の歯医者 西田辺えがしら歯科の歯の豆知識ページです。 皆さん...続きを読む
歯周病や虫歯の初期治療とは? 2025年04月25日17時36分 【歯の豆知識】
歯周病や虫歯の初期治療とは?
歯周病や虫歯の初期治療とは?について、阿倍野区の西田辺えがしら歯科の歯の豆知識ページです。 歯周病や...続きを読む
痛くないのに虫歯と言われた方へ 2025年04月18日16時28分 【歯の豆知識】
痛くないのに虫歯と言われた方へ
痛くないのに虫歯と言われた方へ 虫歯の代表的な症状は「歯痛(しつう)」です。 歯がズキズキと痛み症状...続きを読む
歯を磨く時間はどのくらいが適切? 2025年04月11日17時22分 【歯の豆知識】
歯を磨く時間はどのくらいが適切?
歯を磨く時間はどのくらいが適切?について、阿倍野区の歯医者 西田辺えがしら歯科の歯の豆知識ページです...続きを読む
噛んだら痛い時に疑われる歯の病気は? 2025年04月04日17時42分 【歯の豆知識】
噛んだら痛い時に疑われる歯の病気は?
噛んだら痛い時に疑われる歯の病気は?について、阿倍野区の西田辺えがしら歯科の歯の豆知識ページです。 ...続きを読む

医療法人 優伸会 えがしら歯科

〒545-0021
大阪市阿倍野区阪南町5-23-15西田辺林ビル(西田辺駅前)

TEL 06-6693-4618

当院の新型コロナ対策について
当院の新型コロナ対策について

診療科目

歯科 小児歯科 歯科口腔外科 矯正歯科

審美治療 歯周病治療 インプラント ホワイトニング 入れ歯治療 マタニティ治療 予防治療 インビザライン セレック治療 セカンドオピニオンも行っています。

診療時間お昼も休まず診療中!

診療時間 月 火 水 木 金 土
9:00~17:30 ○ ○ ○ ○ ○ ○

※日曜日・祝日 休診

予約制ですが、急な痛みなどは随時対応しています。

アクセス

[ 地下鉄御堂筋線 ] 西田辺駅4番出口より徒歩0分

大阪市阿倍野区阪南町5-23-15西田辺林ビル(西田辺駅前)

Google MAP で見る

待合室/診療室/トイレなどの院内は土足OKのバリアフリーです。
ベビーカー/車椅子の方でも安心してお越しください。

大阪市阿倍野区阪南町の西田辺駅4号出口上がって徒歩すぐの「えがしら歯科」。
治療に関しては痛みの少ない治療や可能な限り削らない・安易に神経を抜かない・歯を抜かない治療を推進しています。

お子様からご高齢の方まで多くの世代が来院されています。
大阪市阿倍野区西田辺町、昭和町、帝塚山、万代、阪南町、長居、西長居、我孫子(あびこ)、東住吉区、住吉区、松崎町、播磨町、文の里、山坂、南田辺から近く、多くの患者さんが来院される評判・口コミの歯医者です。

診療は虫歯や歯周病(歯槽膿漏治療:歯周内科的治療・位相差顕微鏡検査・PCR検査)、インプラント治療、小児歯科、マタニティ治療、歯科口腔外科から入れ歯(目立たない入れ歯:ノンクラスプデンチャー)、歯を白くするホワイトニング、金属アレルギーのない被せ物・詰め物、セラミック治療(オールセラミック・ジルコニア)、スポーツ用マウスガード、いびき・睡眠時無呼吸症候群、予防治療、インビザラインによる矯正治療、セカンドオピニオンを行っています。

CT撮影設備、ダイアグノデント(光学式う蝕検出装置)、歯科用レーザーなどの設備があります。

なるべく痛くない治療に取組み、麻酔の技術磨くと共に新型の電動麻酔注射器を導入し、歯医者が怖い方にも安心して頂けるように対応しています。

また「歯科治療はよくわからない。」とい方に安心して治療を受けて頂くために、歯科知識を持った歯科カウンセラーや歯科医師が治療説明やカウンセリングを個室で行っております。

阿倍野区西田辺の歯医者 歯科医院のえがしら歯科は、単に歯の治療するだけではなく「できるだけ痛くない・歯を残す・削らない、高い技術の治療」を提供することで安心して治療を受けて頂けます。

そして、多くの方に生涯一本でも多くの歯を残し、毎日の食事をしっかりと噛むことのできる健康なお口を維持することで、全身健康を促進し健康寿命を伸ばしたいと考えています。

  • ホーム

  • カウンセリングについて
  • 患者様からの評価が高い点
  • 審美治療

  • 審美治療を検討されている方へ
  • 自由診療の3つのメリット
  • 審美治療の基準とは?
  • ホワイトニング
  • インビザライン
  • セレック治療(CEREC)
  • 審美治療症例集
  • インプラント

  • インプラントを検討されている方
  • インプラントとは?
  • インプラントとアンチエイジング
  • インプラント治療の流れ
  • インプラントって大丈夫?
  • インプラントの寿命はどれくらい?
  • 抜歯即時インプラント埋入法
  • CGF再生療法
  • 静脈内鎮静法
  • インプラント症例集
  • インプラントのお悩みQ&A
  • 歯周病

  • 歯周内科(除菌治療)
  • 矯正歯科

  • インビザライン
  • 診療メニュー

  • インプラント
  • 審美治療
  • 歯周病
  • 虫歯
  • 詰め物・被せ物が取れた
  • 予防治療
  • 歯科口腔外科
  • 入れ歯(義歯)の治療
  • 小児・マタニティ治療
  • 医院案内

  • 初めての方へ
  • 痛みの少ない治療
  • 院内風景
  • ハイクオリティーな設備
  • セカンドオピニオン
  • 滅菌対策へのこだわり
  • 施設基準
  • 医師・スタッフ紹介

  • 院長紹介
  • 院長メッセージ
  • 歯科医師紹介
  • スタッフ紹介
  • 院長ブログ
  • スタッフブログ
  • 以前のスタッフブログ
  • 採用情報
  • 地図・アクセス

  • ネット予約

  • 歯の豆知識

  • よくある質問

teech

Copyright (C) Egashira Dental Clinic. All Rights Reserved.

トップへ
戻る

  • お電話
  • アクセス
  • WEB予約